入れ歯の説明症例1

症例2

症例3

症例4 新着

症例5 新着

 

症例 1

  私のホームページを見て来院される方は、それぞれ入れ歯に大変苦労をしている人が多いです。
上顎の総義歯でうまくいかないケースはだいたいパターンが決まっています。
上顎骨の発育が悪くしかも顎提がおわん型をしているため口をあけるとはずれ落ちてくるケースです。

 

写真部分はクリックすると拡大します

 

平成 14年10月 52歳 男性

 

症例 2 

 

平成19 1010日  S17年生 男性

治療前

 

いままで上の入れ歯がどうしても合わない、粘膜が痛くなり医院を何度も替えてみたが上手くいかなかったそうです。この症例は良くみられるケースです。

本人の訴えは深刻で、最後にはあなたは特殊体質と言われたそうです。

インプラントも相談したが、骨の層が薄いので出来ないとのことでした。

私はこのケースを見てコーヌスで治療しました。咬む力を粘膜と残っている歯で支えればよい訳です。クラスプ義歯では噛む力が粘膜にくいこんで入れ歯が沈下し、歯肉を痛めてしまいます。

 

治療後

 

症例 3 

 

--

インプラントの画像(治療前)

インプラントの画像

インプラントのレントゲン画像(治療前)

インプラントのレントゲン撮影画像

 

7本がご自身の歯で、3本インプラントをしてありますが、1本のインプラントのまわりの骨がなくなっており、6本の自分の歯が歯周病で、やはり骨が吸収されております。すべての歯が連結されているため、このようなケースで再治療となりますと、すべての歯を撤去となり、治療費も大変です。

歯周病の歯はどのようにしても時間的に悪化していくことが多いです。

 

 

 

治療後(画像クリックで拡大)

---

 

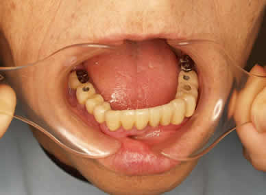
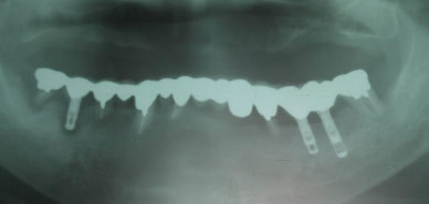
症例 4

 

鳥取県 53才 男性

入れ歯の相談例を記載します。


【メール相談内容】


私は現在53才の男性ですが、下顎(したあご)には歯が3本しかなく困っています。

インプラントは金額が高く悩んでいたところ、こちらのHPに辿り着きました。

どのくらいの料金でできるのでしょうか?おおよそで結構ですのでお知らせ頂ければ、とお思います。なお、保険等は対応できるのでしょうか?

よろしくお願い致します。

※注釈 この方の上歯は全部自分の歯でした。こういった上顎が自分の歯の場合は、下顎に負担が掛かり、通常の作り方では上手くいかないことが多いのです、コーヌスで治療しました。


【治療後のメール】


こんにちは!ご無沙汰しております。今年の春の約3ケ月、お世話になりました鳥取のXXです。

本当に感謝しております。また後日、メンテナンスも兼ねて伺います。よろしくおねがいします。

先生あまり無理されないようにお体に気をつけて下さい。
遅くなりましたがお礼も兼ねての近況報告でした。


【私の感想】


ブラッシングが行い易く、また患者さんもお手入れを良くされていたことから良好を保持できたのだと思われます。

違和感なく、と感想を述べておられていますが、これは私の独自の型の採り方なので、コーヌスをどこで作っても全てそうだということでありませんので念のために。

この患者さんのメールアドレスを載せておきます、なにかこの人にお聞ききしたいことがあればメールで尋ねてください、了解を得てありますから。

 

masao2400@gmail.com     

 

症例 5

 

うまくいかなかったケース


成功例ばかり載せていると思われるので、うまくいかなかったケースも記載します。

東大の内科の教授の沖中重男先生は最終講義で自分の誤診率はいくらであったかを発表され、耳目を集めたことがありましたが、自然科学を追求する者にとって完全ということはあり得ません。

【その1
91
歳の女性で車椅子の方でした。

吸着する総義歯を入れることによって、立ち上がれるのであるまいか?と挑戦しましたが、残念ながら不結果でした。

ご高齢のため、様々な動作に必要な筋力があまりに不足しており、咬み合せをする際にもしっかり咬むことができず、このような患者さんなのに少々無理をし過ぎました。

今もう一度挑戦させてもらえるのなら自信はあるのですが、その当時はまだ経験も浅く、未熟であったと反省しております。

【その2】
美人の女性で、非常に美意識が高く、しっかり咬めて食べられることよりも、見栄えを重点に置いて欲しいという患者さんでした。

わざわざ滋賀県から来られたので咬める義歯を期待しておられたのと思っていましたがそうでなかったようでした。

初診時に写真をお持ちになり、このように入れて欲しいとおっしゃり、自分も軽い気持ちで取り組んだものの、残念ながら仕上がりにご満足頂くことができませんでした。

【その3】
口の中が乾燥して唾液が出ない患者さん(ドライマウス)のケースは吸着しにくいです、顎の状態が良ければよいのですが上顎で悪いと困難なケースがよくあります。とくに入れ歯をいれるとえずくので顎の部分を狭くするように希望される患者さんの場合です。

【その4】
特異体質と思える患者さんのケース。人間は千差万別ですから、意外といらっしゃるのかもしれませんが、私にしたら空前絶後に等しいくらいの方でした。

歯科大学や著名な歯科医にて色々治療をされていて、最初口の中を診たところは、上歯は総義歯で顎堤は十分あり、下歯の前歯は残っていたことから、全く問題なく対応できると考えました。

ところが入れた後理解に苦しむことを訴えられ、何度かトライしましたが、ご納得をいただけない結果になりました。

10年ほど経過して予後が気になり、「その後の歯の状態はいかがでしょうか?」とお尋ねすると、あの後いろいろな歯科医院を受診したが、やはり結局結果は同じだったそうで、自費で治療されていたこともあり、かなり治療費も掛かったのであろうと危惧しました。

だから「もう一度治療をさせてもらえませんか?」と実費だけで作らせてもらいましたが、残念なことに結果はご満足いただけませんでした。

【その5】
口腔がんの手術のあとの患者さんで下の顎が三分の一なかった人でした。このようなケースでも吸着させればなんとかうまくいくのではと思いましたが、吸着せず不可能でした。

 

 

 

トップに戻る